加载中...
联系电话 020-86632188
广州东方医院 Logo
  • 综合医院
  • 无节假日医院
  • 医保定点医院
  • 首页
  • 医院介绍
  • 科室导航
    预约挂号 科室导航

    找医生

    了解我们以患者为中心的护理和服务
  • 医生团队
  • 医院动态
    医院公告 科普文章

    找医生

    了解我们以患者为中心的护理和服务
  • 就医指南
    就医指南 医保政策 来院路线

    找医生

    了解我们以患者为中心的护理和服务
东方医院
  • 首页
  • 医院介绍
  • 科室导航
  • 医生团队
  • 医院公告
  • 科普文章
  • 就医指南
  • 预约挂号
肿瘤专家联合会诊
医院活动
首页 > 医院动态 > 科普文章 >

科普文章 NEWS & UPDATES

  • 很多癌症就是“吃”出来的 医生:食物这样处理后或致癌!

    很多癌症就是“吃”出来的 医生:食物这样处理后或致癌!

    食物这样处理后或致癌!据国家癌症中心近日发布的2022年中国恶性肿瘤负担情况显示,全国新发恶性肿瘤估计482 47万例,为什么生活水平变好了

  • 治疗肺癌,中医药与靶向药物如何实现1+1>2

    治疗肺癌,中医药与靶向药物如何实现1+1>2

    靶向药物治疗,是治疗肺癌的一把好手。它专门针对肿瘤细胞的特定靶点,通过抑制其活性,把肿瘤生长和扩散的势头给压住。靶向治疗的优点不少

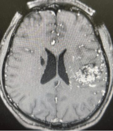
  • 脑转移瘤克星—HyperArc“超弧刀”一键式清除

    脑转移瘤克星—HyperArc“超弧刀”一键式清除

    病例分享这是一名中年女性,乳腺癌术后4年余。因出现头痛、头晕,伴肢体活动障碍半个月来我院就诊,检查显示患者脑部有7处转移瘤,其中2处

  • 头部治疗利器--头体一体伽玛刀

    头部治疗利器--头体一体伽玛刀

    自1968年世界第一台伽玛刀在瑞典投入运行以来,经过50多年的发展,伽玛刀已经是神经外科一项非常成熟的、安全有效的技术。全世界已有200多

24条 上一页 1 2 3 下一页

快捷服务

  • 医院动态

    医院动态

  • 医生团队

    医生团队

  • 来院路线

    来院路线

  • 预约挂号

    预约挂号

  • 医保政策

    医保政策

  • 就医指南

    就医指南

医生团队

  • 梅广源

    梅广源 主任医师

    预约

    疑难杂病、肿瘤

  • 刘杏娥

    刘杏娥 主任医师

    预约

    实体瘤治疗

  • 薛海龙

    薛海龙 主任医师

    预约

推荐文章

  • 治疗肺癌,中医药与靶向药物如何实现1+1>2 治疗肺癌,中医药与靶向药物如何实现1+1>2
  • 治疗肺癌,中医药与靶向药物如何实现1+1>2 治疗肺癌,中医药与靶向药物如何实现1+1>2
  • 伽马刀竣工通过验收 伽马刀竣工通过验收
  • 网站首页
  • 关于我们
  • 专家团队
  • 新闻动态
  • 科室导航
  • 就医指南

地址:广州市白云区石井街兆丰路159号

8:30-12:30 13:30-17:30

联系电话:020-86632188

官方微信

扫码关注官方微信号

  • © 广州东方医院版权所有,未经许可不得转载。
  • 服务条款 隐私政策

地址 地址:广州市白云区石井街兆丰路159号

时间 8:30-12:30 13:30-17:30

电话 联系电话:020-86632188

微信二维码

扫码关注官方微信号

广州东方医院版权所有,未经许可不得转载

粤ICP备2021069336号-4